mivision Journal November 2025

mivision Journal November 2025
Published on 31 October 2025

Description:

Cataract in Optometry: Enhancing Management | Ocular Imaging on Oct: A Technical Masterclass | Resolving Conflicts in the Workplace

42 articles from this collection:
Mivision
Mivision
THE OPHTHALMIC JOURNAL
THE OPHTHALMIC JOURNAL
Innovation is an important theme for this issue.
contributors
contributors
Associate Professor Smita Agarwal specialises in cataract and refractive surgery. The author of this issue’s miophthalmology column, she also writes about her invention: Smita’s Epithelial Cell Curette.
Aust Study Shows Global Support for Sharing Health Data
Aust Study Shows Global Support for Sharing Health Data
A global study by Queensland academics has found most people are willing to share their health data for purposes beyond their own care – such as research and quality improvement – but concerns around privacy and transparency continue to challenge public trust.
UK Award for UNSW Academic
UK Award for UNSW Academic
Emeritus Professor Eric Papas from the University of New South Wales (UNSW) has been awarded the prestigious Bernard Gilmartin OPO Award by the College of Optometrists in the United Kingdom, in recognition of his outstanding contribution to the field of optometry, optics, and vision science.
Potential Eye Drop Alternative to IVI
Potential Eye Drop Alternative to IVI
A new eye drop has shown early success in delivering protective compounds to the back of the eye, raising hopes for less invasive treatment of serious vision conditions.
Myopia Profile Launches AI Assistant
Myopia Profile Launches AI Assistant
Myopia Profile has launched Ask Kate, an AI-powered virtual assistant designed to support eye care professionals (ECPs) manage the evolving challenges of childhood myopia. Trained exclusively on Myopia Profile’s extensively referenced and clinically validated content, Ask Kate delivers real-time, succinct, evidence-based responses.
IMI 2025 White Paper Updates
IMI 2025 White Paper Updates
Two new white papers from the International Myopia Institute (IMI) have been published, providing the global eye care community with the latest evidence-based insights to guide myopia prevention and management.
CooperVision Video on Plastic Neutrality
CooperVision Video on Plastic Neutrality
CooperVision has released Turning Plastic into Purpose, the latest instalment in its video series featuring its innovative partnership with Plastic Bank. The episode tells the story of how plastic waste – when collected, processed, and reused – can make a positive impact on people and the planet. Turning Plastic into Purpose highlights Asnaini, who turned to plastic collection after losing her job. What began as a short-term means of income evolved into a growing community re
Laser Fix for Teen Vision: Safe, Effective
Laser Fix for Teen Vision: Safe, Effective
A major study has found laser correction for myopia is as safe and effective in older teenagers as it is in adults, according to research presented at the 43rd Congress of the European Society of Cataract and Refractive Surgeons (ESCRS).1
Can Atropine Delay Myopia Onset?
Can Atropine Delay Myopia Onset?
Researchers in the United States are leading a national study to determine whether daily drops of atropine can delay the onset of myopia, rather than just slow its progression.
Metformin No Help for AMD: Study
Metformin No Help for AMD: Study
A new retrospective study has found the diabetes drug metformin is no help for delaying onset or progression of age-related macular degeneration (AMD).
MDFA’s Eye Connect Expands to Diabetes Eye Conditions
MDFA’s Eye Connect Expands to Diabetes Eye Conditions
Macular Disease Foundation Australia (MDFA) is partnering with Diabetes Australia’s KeepSight to expand its successful Eye Connect support service to include Australians living with diabetic retinopathy (DR) and diabetic macular oedema (DMO).
Specsavers NZ Second Best Workplace
Specsavers NZ Second Best Workplace
Specsavers has been officially recognised as one of New Zealand’s best workplaces, ranking second on the Great Place to Work list for medium to large businesses for 2025.
The ‘Eureka!’ Moment
The ‘Eureka!’ Moment
Every refractive surgeon knows the sinking feeling when epithelial cells sneak under a laser-assisted in situ keratomileusis (LASIK) flap or (kerato-refractive lenticule extraction) Klex cap. It doesn’t happen often, but when it does, it’s a nightmare. Epithelial ingrowth can blur vision, distort the cornea, and in rare cases, even melt the flap. Worse still, the standard treatment – relifting the flap and scraping away the cells – carries with it a daunting recurrence rate,
Aphra Board Appointments
Aphra Board Appointments
Health ministers have made two significant reappointments to the Australian Health Practitioner Regulation Agency (Aphra) Board and confirmed nine new members of National Boards.
Small Sock, Big Statement
Small Sock, Big Statement
Super Eye Socks, created by Australian Society of Ophthalmologists (ASO) in collaboration with Swanky Socks, are now officially available to the public.
A Closer Look
A Closer Look
Bioptic Telescopes & Fitness to Drive
Autoimmune Conditions Affecting the Eye
Autoimmune Conditions Affecting the Eye
A Multidisciplinary Care Approach
Cataract in Optometry Practices: Enhancing Patient Management
Cataract in Optometry Practices: Enhancing Patient Management
As global life expectancy rises and patient expectations evolve, demand for cataract surgery and premium visual outcomes continues to grow. As Associate Professor Smita Agarwal notes, with many patients presenting initially in optometric practice, the optometrist’s role has never been more critical.
mi ophthalmology products
mi ophthalmology products
Oertli’s surgical platforms are designed to enhance the cataract surgery experience for surgeons. The OS 4 system features a multi-pump fluidics setup, including a proprietary SPEEP (speed and precision) pump that allows for controlled intraoperative conditions. Oertli phaco handpieces are specifically engineered for both efficiency and precision.
Advancing Clinical Excellence Ophthalmology Updates! 2025
Advancing Clinical Excellence Ophthalmology Updates! 2025
The ninth Ophthalmology Updates! conference in Sydney brought together leading eye health professionals from Australia and around the world, for a comprehensive examination of contemporary advances across multiple subspecialties. Convened by Professor Adrian Fung, the event successfully balanced practical clinical updates with broader professional development themes.
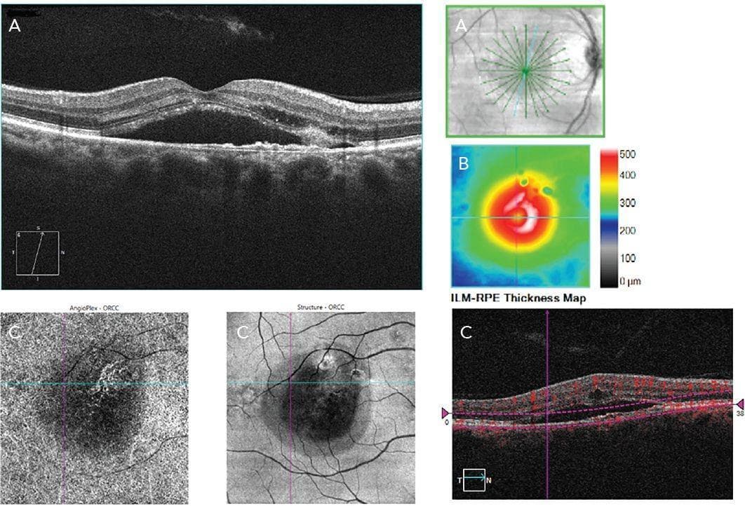
Ocular Imaging on OCT: A Technical Masterclass
Ocular Imaging on OCT: A Technical Masterclass
Centre for Eye Health (CFEH) has been operating, in part, as an imaging centre since 2009. Each year, approximately 70 final year optometry students from the University of New South Wales undertake a clinical rotation at CFEH, working alongside the team of optometrists to capture images and scans, mostly on elderly patients.
From Surface to Surgery: Collaborating to Optimise the Tear Film for Surgical Precision
From Surface to Surgery: Collaborating to Optimise the Tear Film for Surgical Precision
Successful cataract and refractive surgery begins well before the patient enters the operating theatre. As the eye’s first refractive surface, the tear film is critical for accurate biometry, clear intraoperative visualisation, and ultimately, surgical outcomes and patient satisfaction.1 Even subtle tear film instability can compromise preoperative measurements, increase the risk of refractive surprises, and diminish surgical outcomes.
What’s In, What’s Out? DEWS III and the Future of Dry Eye Care
What’s In, What’s Out? DEWS III and the Future of Dry Eye Care
In the ever-evolving field of ocular surface disease, staying current is a matter of clinical necessity. With the recent release of the TFOS DEWS III (Dry Eye Workshop III) report,1,2 our industry is witnessing a significant recalibration of how we diagnose, classify, and manage dry eye disease. The DEWS III report represents a monumental collaboration: over 1,000 peer-reviewed publications synthesised, critically evaluated, and distilled into practical guidelines by 18 leadi
mi dry eye products
mi dry eye products
Dry eye can be caused by a variety of triggers, including physiological, behavioural, and environmental factors. Normally, eyes are kept moist by tears, which play an important role in lubricating the eyes and protecting them from infections. Fortunately, lubricating eye drops are available to help relieve dry eye symptoms.
RayPro’s Agnostic Platform: Transforming Cataract Outcomes
RayPro’s Agnostic Platform: Transforming Cataract Outcomes
In an era where patient satisfaction increasingly drives surgical excellence, a groundbreaking digital platform is transforming how ophthalmologists measure and understand real-world outcomes following cataract surgery. RayPro, developed by the United Kingdom-based Rayner, represents a paradigm shift from traditional follow-up methods to comprehensive patient-reported outcome measures (PROMs) that capture the lived experience of patients for up to three years after they’ve le
Manual Marking in a Digital Era: The Torix System
Manual Marking in a Digital Era: The Torix System
As demand for toric intraocular lenses (IOLs) continues to grow, surgeons worldwide are grappling with the challenge of achieving consistent, accurate alignment while maintaining efficient surgical workflows. Although digital marking systems have garnered significant attention, experienced surgeons recognise that manual marking systems remain a vital component of modern cataract surgery.
Extending Vision: The Tecnis Odyssey IOL in Clinical Practice
Extending Vision: The Tecnis Odyssey IOL in Clinical Practice
Brisbane specialist ophthalmologist Dr Matthew Russell shares his early experience with the Tecnis Odyssey intraocular lens (IOL) – Johnson and Johnson Vision’s latest premium IOL, highlighting excellent patient outcomes and refined surgical efficiency.
Autoimmune Disease: Ocular Manifestations to Watch For
Autoimmune Disease: Ocular Manifestations to Watch For
Autoimmune diseases frequently involve the eye, sometimes as the first sign of systemic illness. Dr Margaret Lam highlights diagnostic red flags to be mindful of in your practice.
More than a Career: Finding Vision and Purpose
More than a Career: Finding Vision and Purpose
Two decades into his career, Brendan Philp sees optometry as more of a calling, than a profession.
New Realities, Fresh Opportunities for 2026
New Realities, Fresh Opportunities for 2026
As 2025 comes to a close, optometry stands at the threshold of new opportunities, writes Andrew McKinnon from Optometry Australia New South Wales and Australian Capital Territory.
Google AI Mode: An Eye Care Marketing Paradigm Shift
Google AI Mode: An Eye Care Marketing Paradigm Shift
What if Google became less like a directory and more like a concierge? Instead of handing users a list of web addresses, it points them directly to the clinics it trusts most. That’s what Google AI Mode will soon mean for eye care providers across Australia.1
Someone Being Rude to You? Don’t Take it Personally
Someone Being Rude to You? Don’t Take it Personally
I’ve been in countless rooms where rudeness shows up. Sometimes it’s a colleague cutting you off mid-sentence, other times it’s a customer snapping or mocking you in front of others. In those moments, it’s natural to think: “Did I do something wrong? Did I deserve that?” Almost always, the answer is no.
Practical HR Strategies for Resolving Workplace Conflicts
Practical HR Strategies for Resolving Workplace Conflicts
Conflict in the workplace is unavoidable. Even in well-run practices with strong teams, differences in opinion, communication styles, and priorities will arise. Left unchecked, conflict can erode trust, reduce productivity, and impact patient care.
Sports and Adventure Eyewear for Peak Performance
Sports and Adventure Eyewear for Peak Performance
Every day and every night, our patients are partaking in a wide range of sports activities, such as cycling, running, motocross, martial arts, basketball, cricket, paintball, and snooker.
Frames for the Fearless
Frames for the Fearless
Oakley Meta Vanguard is built for the demanding world of sports, where equipment has to keep up with high speeds, rough conditions, and extreme action.
Lenses for Every Landscape
Lenses for Every Landscape
Whether your patients are hitting the trail, the road, or the tennis court, Transitions lenses offer more than vision correction – they provide dynamic light adaptation that keeps pace with an active lifestyle. Transitions Gen S is fully clear indoors and darkens to category three in seconds, fading back in about two minutes.1
RIP CURL Eyewear Built for The Search
RIP CURL Eyewear Built for The Search
For more than five decades, Rip Curl has been synonymous with surfing. Born in 1969 at Bells Beach, the brand has grown from a grassroots surfboard operation into a global lifestyle powerhouse, yet it has never strayed from its core vision: to be the ultimate surfing country.
mi fashion news
mi fashion news
Lindberg represents Danish luxury, emphasising minimalism, comfort, and extraordinary quality.
mi products
mi products
CR Labs has launched Silque, Satin+ Tint, Satin+ Vogue, and an expanded range of fashion tints to support independent optometry.
Events
Events
RANZCO’s 56th Congress presents a program designed to inspire, educate, and elevate your practice.